Tiempo de lectura aprox: 1 minutos, 45 segundos
En qué consiste la enfermedad de Osgood-Shlatter
La enfermedad de Osgood-Schlatter, es un crecimiento de la protuberancia de la tibia, justo debajo de la rodilla (tuberosidad tibial), que se manifiesta principalmente con dolor en el segmento anterior de la rodilla.
La incidencia es mayor en adolescentes de 10 a 15 años de edad, sobre todo cuando se encuentran en un periodo de crecimiento y realizan actividades deportivas que requieran impacto. Esta enfermedad afecta más en niños que niñas y en ocasiones se puede presentar de manera bilateral.
Síntomas principales y diagnóstico
La sintomatología de la enfermedad de Osgood-Schlatter es:
- Dolor en la región anterior de la rodilla.
- El dolor es desencadenado o intensificado por el ejercicio físico intenso, al subir y bajar escaleras, saltar, arrodillarse o ponerse de cuclillas.
- El dolor disminuye con el reposo.
- Área anterior de la tibia irritada, inflamada y con dolor.
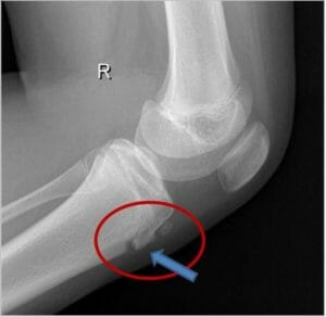
Las principales herramientas para confirmar el diagnóstico del Osgood-Schlatter se realizan mediante radiografías que pueden mostrar daño en la espina tibial, protuberancia ósea o si existe alguna alteración ósea u otras patologías de mayor importancia. Si no se refleja con mucha claridad, se puede realizar una ecografía o resonancia magnética.
Causas
La causa principal es la tracción del tendón rotuliano durante la etapa de crecimiento. Esta tracción repetida sobre la tuberosidad tibial a través de la contracción del cuádriceps y del tendón rotuliano producen pérdida de la continuidad del tendón-hueso con la consecuente fragmentación de la tuberosidad tibial, lo que desencadena en un proceso inflamatorio alrededor de ésta.

Asimismo, hay otros factores que pueden influir:
- Adolescentes que juegan al fútbol, baloncesto y/o voleibol
- Hipertono del cuádriceps, sobre todo el recto anterior.
- Acortamiento de la musculatura posterior de la pierna.
- Alteraciones de la biomecánica de la pelvis, cadera, tobillo y pie.
Tratamiento
En la fase aguda, el tratamiento será reposo deportivo según sintomatología y terapia manual orientado a disminuir la tensión del cuádriceps sobre la rótula, movilización indolora de la rótula, estiramiento global de la cadena posterior del miembro inferior y técnicas de electroterapia como ultrasonidos, láser u onda corta
En una segunda fase el tratamiento se centrará en el trabajo activo, se orientará a aportar flexibilidad a la musculatura de la parte posterior del muslo y al aparato extensor de la rodilla, mediante la utilización de la Reeducación Postural Global RPG®, trabajo de propiocepción y de potenciación progresiva para una correcta readaptación a la actividad física, en el caso de deportistas.
En Premium Madrid estamos a tu disposición para tratar tu problema, contamos con un amplio equipo multidisciplinar para ayudarte en todo lo que necesites.
Bibliografía:
- Midtiby, S. L., Wedderkopp, N., Larsen, R. T., Carlsen, A. M. F., Mavridis, D., & Shrier, I. (2018). Effectiveness of interventions for treating apophysitis in children and adolescents: protocol for a systematic review and network meta-analysis. Chiropractic & manual therapies, 26(1), 41.
- David Herrero-Morín, J., Fernández González, N., Gutiérrez Díez, C., Pérez Menéndez, M. T., & Fernández Fernández, E. M. (2017). Enfermedad de Osgood-Schlatter en un adolescente deportista: Caso clínico. Archivos argentinos de pediatría, 115(6), e445-e448.