Entrenamientos running

Planes de entrenamiento para correr, mejorar el running a través de entrenamientos de fuerza, entrenamientos de velocidad, entrenamientos de flexibilidad, entrenamientos de coordinación, entrenamientos de tecnica de carrera, entrenamientos de resistencia, entrenamientos de core.
Entrenamientos para preparar un 10.000 (10K), Entrenamientos para preparar un maraton, Entrenamientos para preparar una media maraton, Entrenamientos para preparar un trail o carrera de ultrafondo

Condromalacia Rotuliana
Deporte Entrenamientos running Lesiones de baloncesto Lesiones de balonmano Lesiones de fútbol Lesiones de natación Lesiones de tenis Lesiones de voleibol Rodilla

Condromalacia Rotuliana: Definición, síntomas, causas y tratamiento

La condromalacia rotuliana o síndrome de dolor femoropatelar, es una lesión degenerativa que afecta al cartílago de la superficie articular de la rótula. La incidencia de esta lesión en adolescentes y [...]

recuperación maratón
Deporte Deporte y Nutrición Entrenamientos running

¿Cómo recuperarse tras una maratón?

Hoy contamos con José Merinero corredor habitual de maratones, sin ir más lejos estuvo en el Maratón de Rotterdam hace dos semanas para hacer su Mejor Marca Personal en 2 h 42´ y esta semana en el Mar [...]

fascitis plantar
Deporte Entrenamientos running Pie

¿Qué es la fascitis plantar? Síntomas y Tratamientos

Hoy, en esta nueva entrada del blog, vamos a hablar de la FASCTITIS PLANTAR, patología dolorosa de talón que genera más del 60% de las visitas a consulta biomecánica.

síndrome de la cintilla iliotibial
Deporte Entrenamientos running Rodilla

Síndrome de la cintilla iliotibial o rodilla del corredor: caso biomecánico

El síndrome de la cintilla iliotibial es una de las lesiones más frecuentes que se producen a nivel de la rodilla. Es por esto que esta patología es coloquialmente conocida como “rodilla del corredor” [...]

Deporte Entrenamientos running Lesiones de baloncesto Lesiones de balonmano Lesiones de fútbol Lesiones de tenis Lesiones de voleibol Rodilla

Tratamiento quirúrgico en la fractura de rótula

Una vez analizada la anatomía y biomecánica de la rótula, vamos a analizar las posibilidades de tratamiento que se pueden realizar y los criterios de elección para cada una de ellas.

Casos Clínicos Entrenamientos running Lesiones de baloncesto Lesiones de balonmano Lesiones de fútbol Lesiones de natación Lesiones de tenis Lesiones de voleibol Rodilla

CASO CLÍNICO. REEDUCACIÓN FUNCIONAL DEPORTIVA POSTQUIRÚRGICA DE ROTURA LIGAMENTO CRUZADO ANTERIOR (PARTE 2)

Se continúa la explicación del caso clínico  de un jugador de fútbol, mostrando el proceso de rehabilitación de una rotura de ligamento cruzado anterior con rotura menisco interno.

Casos Clínicos Entrenamientos running Lesiones de baloncesto Lesiones de balonmano Lesiones de fútbol Lesiones de natación Lesiones de tenis Lesiones de voleibol Rodilla

CASO CLÍNICO. REEDUCACIÓN FUNCIONAL DEPORTIVA POSTQUIRÚRGICA DE ROTURA LIGAMENTO CRUZADO ANTERIOR

El caso clínico que exponemos a continuación, es un jugador de fútbol recuperándose de una  rotura de ligamento cruzado anterior  con rotura de menisco interno. Se produjo la lesión en un mecanismo no [...]

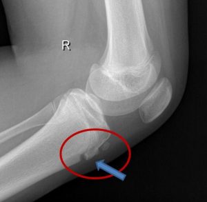
Entrenamientos running Fisioterapia traumatologica y reumatologica Lesiones de baloncesto Lesiones de balonmano Lesiones de fútbol Lesiones de tenis Lesiones de voleibol Rodilla

Enfermedad de Osgood – Schlatter. Fisioterapia y rehabilitación

La enfermedad de Osgood-Schlatter u Osteocondrosis juvenil, es un crecimiento doloroso de la protuberancia de la tibia, justo debajo de la rodilla (tuberosidad tibial), donde se inserta el tendón rotu [...]

Casos Clínicos Entrenamientos running Lesiones de baloncesto Lesiones de balonmano Lesiones de fútbol Lesiones de tenis Lesiones de voleibol Pie Podología

CASO CLÍNICO. FRACTURA POR ESTRÉS DEL METATARSO DEL PIE

En anteriores publicaciones hemos hecho referencia a distintas patologías y manifestaciones clínicas de tobillo - pie más habituales, así como su tratamiento y abordaje tanto conservador como quirúrgi [...]

Entrenamientos running Eventos

XIII CROSS AL YELMO 22 de Septiembre de 2013

XIII CROSS AL YELMO 22 de Septiembre de 2013

Ver más entradas
abajo